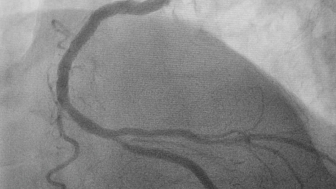
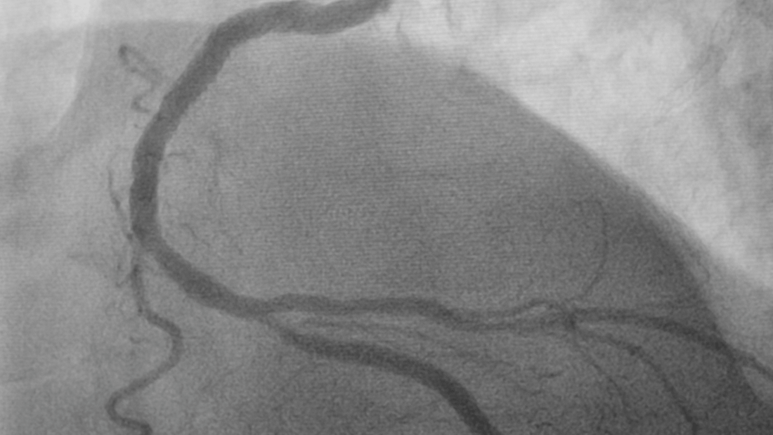
What Is an Angiogram?
An angiogram, also known as coronary angiography, is a specialized medical imaging test that allows doctors to visualize how blood flows through the arteries of your heart.
It plays a critical role in identifying narrowing, blockages, or plaque buildup that may restrict blood flow and increase cardiovascular risk.
Unlike general heart tests such as an electrocardiogram (ECG) or stress test, an angiogram provides a direct, visual assessment of your coronary arteries. It helps physicians determine not only whether blockages are present, but also where they are located and how severe they might be. This makes the angiogram one of the most precise diagnostic tools for evaluating coronary artery disease.
There are two main types:
- Invasive angiogram: A catheter and contrast dye are used to visualize the coronary arteries directly.
-
CT angiogram (CCTA): A non-invasive scan that provides a detailed look at both soft (non-calcified) and hard (calcified) plaques.
This type of test provides valuable insight into your artery health, helping detect potential issues before symptoms appear.
Soft vs. Hard Plaque: What Your Results Mean
When you receive your angiogram report, it may mention soft plaque or hard plaque.
Understanding these terms can help you take informed steps toward maintaining your cardiovascular wellness.
Soft Plaque
- Made of fats, cholesterol, and inflammatory cells.
- Less stable and more prone to rupture.
-
Often invisible in traditional calcium tests but detectable with CT angiography.
Hard Plaque
- Contains calcium deposits, making it more rigid and stable.
- Though less likely to rupture, it can gradually restrict blood flow.
-
Commonly measured through a Calcium Score Test.
Many people have both soft and hard plaque, which is why regular monitoring and preventive action are essential.
What to Do If Your Angiogram Shows Plaque
An angiogram showing plaque is not a reason to panic; it’s an opportunity to take control and support your heart health proactively.
1. Talk to Your Cardiologist
Your cardiologist can explain your angiogram results, the degree of narrowing, and the best treatment or prevention plan for your unique case.

2. Make Lifestyle Changes
- Eat a balanced diet rich in vegetables, fruits, fiber, and healthy fats.
- Exercise regularly and manage stress effectively.
- Avoid smoking and limit alcohol intake.
-
Get enough rest and stay consistent with medical checkups.
3. Support Your Heart Naturally
Taking care of your cardiovascular health isn’t just about following medical treatment; it’s about adopting an integrated approach that combines science, prevention, and sustainable daily habits.
Nutritional supplements can help support healthy circulation, arterial flexibility, and overall heart function, especially when paired with a balanced diet, regular exercise, and consistent medical supervision.
At Heartstrong Nutraceuticals, we’ve spent years studying the relationship between nutrition, natural enzymes, and arterial function.
From this ongoing research and real-world experience, the
Heartstrong Protocol was created — an advanced daily routine designed to support cardiovascular performance, sustain energy, and promote healthy circulation.
This protocol is the result of years of research and real customer stories from individuals who have shared how this approach strengthened their well-being and confidence in their health.
At Heartstrong, we believe that knowledge is just as powerful as prevention.
That’s why we invite you to download the free ebook
“Heart Reboot: How I Reversed My Calcium Score to Zero” —
An inspiring story of how lifestyle changes, consistency, and smart nutrition can transform the way you care for your heart.
Learn more about the
Heartstrong Protocol and how it can help you maintain your heart’s vitality every day.
Explore our full range of products in the
Shop Collection
and visit the
Learning Centre
for more educational resources on cardiovascular health and prevention.
(Always consult your physician before starting any new supplement or nutritional protocol.)
Real Experiences from the Heartstrong Community
“My cardiologist just did a heart catheterization and told me I have ZERO plaque buildup. Heartstrong works!”
— Rick W.
“I broke down in tears. My test results showed that my arterial blockages were gone. Thank you!”
— MJW
“It’s a miracle! My calcium score dropped from 800 to 200 in one year.”
— JM
“The Menla Scan showed remarkable vascular improvement. My cardiologist said: ‘Your heart is strong.’”
— John D.
“After following the Heartstrong protocol, I feel healthier and more energetic than I have in years.”
— Ray G.
(Individual results may vary.)
Our Commitment: Science, Quality, and Integrity
At Heartstrong Nutraceuticals, we’re committed to science-based formulations that help support heart function, circulation, and overall wellness.
Every product is crafted under strict quality standards and backed by a six-month satisfaction guarantee.
Money-Back Guarantee:
If, after six months of following the Heartstrong protocol, your imaging results (angiogram or calcium score) show no measurable change, we’ll refund the full cost of your supplements.
How to Qualify:
- Follow the supplement protocol for six months.
- Complete a calcium score or angiogram test before and after.
- Submit both certified results to support@heartstrong.com.
-
If no improvement is observed, we’ll process your refund.
Note: The guarantee covers supplement costs only, not medical or diagnostic fees.
Health screenings such as angiograms, Calcium Score Tests, and preventive programs by organizations like Lifeline Screening play an important role in early cardiovascular detection.
Participating in these evaluations helps you understand your artery health, track progress, and take preventive steps to protect your heart long-term.
If you’ve already taken a screening test or plan to do one soon, consider it a starting point — an opportunity to pair medical insights with lifestyle improvements and proper nutritional support.
At Heartstrong, we believe that knowledge, prevention, and consistent care are the foundations of a strong and resilient heart.
Explore our
Shop Collection
and visit our
Learning Centre
to learn more about natural ways to support your cardiovascular health.
Your heart is strong. Support it every day.
Disclaimer
According to federal guidelines, customer testimonials may not represent typical results.
These experiences were shared voluntarily by verified clients, and individual results may vary.
These statements have not been evaluated by the FDA.
The information provided is not intended to diagnose, treat, cure, or prevent any disease.
Heartstrong Nutraceuticals supplements are designed to support cardiovascular and overall wellness as part of a healthy lifestyle and under medical supervision.